
La chirurgie osseuse pré-implantaire comprend toutes les interventions chirurgicales permettant en amont la pose d’implants dentaires quand la quantité d’os n’est pas suffisante car si l’os n’est pas suffisant, la fusion implant/os (ostéo-intégration) se fera mal.
Il existe plusieurs techniques :
Le comblement alvéolaire est une technique de chirurgie pré-implantaire visant à anticiper la résorption osseuse consécutive à une extraction dentaire, dont elle est en principe concomitante.
Une fois la dent extraite, un greffon est mis en place dans l’alvéole (ancien « trou » dans lequel se trouvait la dent absente) et recouvert d’une membrane type collagène pour assurer la prise de la greffe.
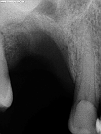
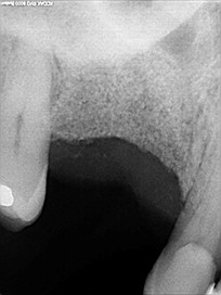
Le bon comblement alvéolaire dentaire est vérifié au bout de quelques mois par imagerie médicale type cone-beam. Puis la pose classique de l’implant peut être réalisée.



Elle consiste à placer un substitut osseux (D’origine animal synthétique ou humain sous forme de granules) au niveau du défaut présent. Ces granules sont stabilisés par une membrane qui a également un rôle de protection. Parfois la mise en place de l’implant dentaire se fait dans le même temps opératoire que la régénération osseuse. La gencive est ensuite replacée et suturée de façon à obtenir la fermeture du site opératoire.
La durée de cicatrisation post opératoire est de 4 à 6 mois et permet une colonisation osseuse au sein du matériau de comblement
Tous les matériaux utilisés ont fait l’objet d’études scientifiques validant leur innocuité et leurs propriétés biologiques.
La traçabilité des matériaux est assurée par le cabinet et un double peut vous est fourni à l’issue de votre intervention.

Une greffe osseuse d’apposition est une technique de chirurgie pré implantaire indiquée lorsque le patient a une largeur osseuse (maxillaire ou mandibule) insuffisante rapportée au diamètre de l’implant, soit car le diamètre de l’implant est trop important, soit car la pose de l’implant nécessite un remodelage osseux.
Ce type de greffe osseuse traite donc les déficits osseux dits horizontaux. La technique est relativement simple, sous anesthésie générale ou locale.
La première étape est le prélèvement du greffon : il peut se faire au niveau du ramus mandibulaire, qui est l’angle osseux de la mâchoire inférieure.
Un bloc osseux d’origine humaine peut être utilisé en substitut d’un prélèvement sur le patient, on parle de bloc osseux allogénique
Dans un second temps, le chirurgien met en place le greffon prélevé.
Il effectue une incision dans la gencive : il repousse les tissus mous et une fois qu’il a accès à l’os, Selon leur taille, il faut parfois les fixer avec une vis d’ostéosynthèse (pour les greffes d’apposition, il faut toujours mettre une ou plusieurs vis). Une fois la greffe effectuée, le praticien la recouvre parfois d’une membrane type collagène qui isole le greffon de la gencive, pour bien permettre la greffe sur l’os.
La consolidation optimale d’une greffe osseuse nécessite plusieurs mois. Des techniques d’imagerie médicale type cone-beam permettent de bien objectiver la réussite de cette consolidation de la greffe osseuse dentaire.



Le sinus-lift ou soulevé de sinus est une technique de chirurgie pré implantaire pour corriger les déficits osseux verticaux empêchant la fixation de l’implant dans l’os maxillaire postérieur (mâchoire du haut).
L’abord de l’os maxillaire se fait par une incision de la gencive.
Les tissus mous sont dégagés pour avoir accès à la paroi antérieure de l’os. Une fenêtre est découpée, pour avoir accès au sinus maxillaire sous-jacent : la muqueuse du sinus est décollée, pour y placer dessous le greffon préalablement préparé. Le greffon peut être de l’os d’origine humaine, animale ou synthétique. Le choix du matériau est réalisé en accord avec le patient.
Les plans sont refermés et la gencive suturée avec du fil résorbable.
Comme pour une greffe osseuse pré-implantaire, la consolidation optimale nécessite plusieurs mois. Un cone-beam permet de bien objectiver la réussite de cette consolidation.
