
Les progrès importants que réalise notre profession permettent au Dr COLLIN de vous accompagner durant votre traitement implantaire et chirurgical.
Des extractions dentaires multiples (sous anesthésie générale ou anésthésie locale) aux greffes osseuses en passant par les poses d’implants dentaires (Straumann, Nobel) et les réhabilitations implantaires globales (All-on-4® ou Straumann Pro Arch, Implants zygomatiques), le Dr Matthieu COLLIN et son équipe seront à votre écoute et s’efforceront de vous proposer une prise en charge simple.



La chirurgie osseuse pré-implantaire comprend toutes les interventions chirurgicales permettant en amont la pose d’implants dentaires quand la quantité d’os n’est pas suffisante.
Découvrir
Lorsqu’une dent naturelle est absente, il peut être nécessaire de la remplacer par une « dent artificielle » : l’implant constitue en quelque sorte la racine « artificielle » de cette nouvelle dent, sur laquelle le praticien va fixer une couronne de manière temporaire ou permanente.
DécouvrirCONFORT & TECHNOLOGIES
Notre cabinet dentaire d’implantologie situé au sein de l’Espace Santé de SANARY-SUR-MER dispose de

2 blocs opératoires dédiés à l'exercice chirurgical exclusif

Radio numérique tridimensionelle
Workflow numérique

Stérilisation

Matthieu
Collin

Assistante
Laurence
Roffinella
Assistante dentaire qualifiée

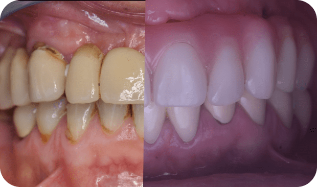
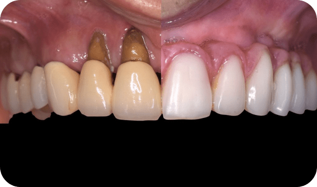
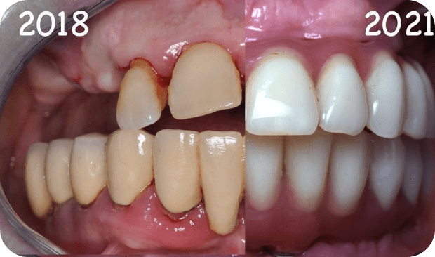
CAS CLINIQUES

14 / 06 / 2022
Pro arch 6 TL

10 / 06 / 2022
Chirurgie Buccale et Implantologie Dentaire

19 / 03 / 2022
Réhabilitation globale sur 6 implants

19 / 03 / 2022
Réhabilitation globale sur 6 implants Pro arch en Straumann

19 / 03 / 2022
Réhabilitation implantaire fixe sur 4 implants pro arch 4 TLX NT

19 / 03 / 2022
Réhabilitation implantaire fixe sur 4 implants

13 / 03 / 2022
Réhabilitation implantaire fixe sur 4 implants Double all-on-4
Le Dr Matthieu Collin intervient dans de nombreux congrès, conférences et formations.
Découvrir nos événements

02/02/2023

24/11/2022

24/11/2022

27/08/2022

23/06/2022

22/06/2022

28/04/2022

05/03/2022


Réhabilitation immédiate complète maxillaire
Télécharger
Quatre implants pour un sourire
Télécharger
Concept du Pro Arch
Télécharger
Concept du Pro Arch : les 4 piliers du All-on-4 maxillaire
TéléchargerPrise de rendez-vous :
04.94.29.60.15Horaires d'ouverture
Vous pouvez aussi nous contacter par mail :
Écrivez-nousPrise de rendez-vous :
04.94.29.60.15